Catching up to human treatments for canine AML

From: Cornell University College of Veterinary Medicine
By: Patricia Waldron
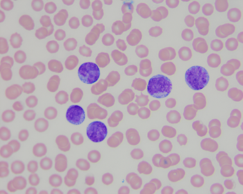
Losing a dog to cancer is always devastating, but losing one to acute myeloid leukemia (AML) is an especially heart-wrenching experience because it happens so fast. Read the full article at: https://www.vet.cornell.edu/news/20211129/catching-human-treatments-canine-aml

Short URL: https://dev.caninechronicle.com/?p=224307
Comments are closed










